Popcash

Boneca resgatada de lagoa revela invasão de vermes devoradores

O resgate de uma boneca com aparência bizarra revelou que a maior lagoa de água salgada da Europa foi invadida por uma espécia de verme dos mais vorazes

Segundo o site de notícias 20 Minutos, o brinquedo foi encontrado pela ativista Isabel Rubio nas águas do lago conhecido como Mar Menor, na cidade espanhola de Los Alcázares

A publicação informa que o local entrou em estado crítico em outubro de 2018, quando diversos peixes começaram a aparecer mortos

O que abriu espaço para espécie invasoras começarem a marcar presença por ali

Bombou no HORA 7! Mulher vive como bebê em tempo integral e gasta centenas de fraldas

Assim que achou a boneca pavorosa, Isabel a encaminhou para o Departamento de Ciências Marinhas da Universidade de Alicante

Vale o clique: Rapaz diz ser ciborgue do ano 2050 e revela: 'Vivemos em uma simulação'

No laboratório, os especialistas identificam cerca de 4.000 exemplares de Hydroides elegans, verme invasor que compete com toda a fauna que encontra pelo caminho

Também são conhecidos por cobrir cascos de navios que naufragaram e entupir canos. O biólogo marinho Paqui Giménez acredita que eles podem ter chegado ao Mar Menor por meio de inundações recentes

Leia mais! Briga entre 4 dragões-de-komodo é o mais bizarro espetáculo da natureza

No entanto, o profissional acredita que a invasão possa ter um aspecto positivo, já que esses vermes podem atuar como filtros para bactérias nocivas à água da lagoa

Por falar em verme, um paciente teve centenas deles retirados do cérebro e do peito. Entenda a seguir!

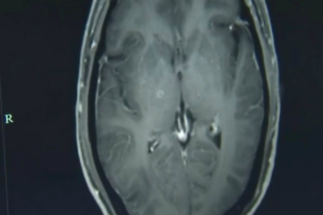
Um homem de 43 anos teve centenas de vermes retirados do cérebro e da região torácica em um hospital da província de Zhejiang, na China

Veja também: Passageiro é detido com R$ 275 mil dentro de cascas de amendoim

Segundo o jornal New York Post, Zhu Zhongfa chegou ao local alegando sofrer de convulsões e perda repentina de consciência

Exames realizados no paciente mostraram que ele estava contaminado com o verme parasitário Taenia solium

Vale o clique: Garota quis ficar igual a seu rapper favorito e acabou cega

Esse tipo de tênia, como também é chamada, é transmitida por meio da ingestão de carne de porco mal cozida

O médico Huang Jianrong explicou que as larvas do verme entraram no corpo de Zhongfa pelo sistema digestório e viajaram por meio da corrente sanguínea até alcançarem o cérebro

Leia mais! Criatura marinha cheia de espinhos deixa pescadores apavorados

Ele foi diagnosticado com cisticercose (corpo) e neurocisticercose (cérebro) e recebeu medicamentos antiparasitário e outros com função de proteger os órgãos de demais danos

Especialistas recomendam cozinhar a carne a uma temperatura segura e usar um termômetro de alimentos para evitar essa doença

Veja também: Papagaio some por quatro anos e reaparece falando espanhol

Jianrong informou que o paciente tem respondido bem ao tratamento, mas os efeitos da infestação maciça ainda não estão claros

Não vá embora! Homem vestido de lápis é golpeado na cabeça com o próprio cavaquinho

Postar um comentário

0 Comentários